Είναι απαραίτητο να ξεκινήσουμε με το γεγονός ότι οι απλούστεροι οργανισμοί εμφανίστηκαν πριν από πολύ καιρό. θεωρούνται οι αρχαιότεροι κάτοικοι του πλανήτη. Κατά τη διάρκεια της ύπαρξής τους, έχουν γίνει απίστευτα ανθεκτικοί σε διάφορες προκλήσεις. Μπορούν να επιβιώσουν ακόμη και στα πιο επικίνδυνα περιβάλλοντα.
Αυτοί οι μικροοργανισμοί έχουν επιλέξει έναν πολύ βολικό τρόπο ύπαρξης για τον εαυτό τους - τον παρασιτισμό, ιδιαίτερα στο ανθρώπινο σώμα. Όπως αναφέρθηκε προηγουμένως, αυτοί οι μικροοργανισμοί είναι απίστευτα «επιβλαβείς» και επίμονοι, γι' αυτό μερικές φορές είναι τόσο δύσκολο να απαλλαγούμε από αυτούς.
Υπάρχουν διάφοροι τύποι χώρων όπου «κατοικούν» τα παράσιτα. Ο πρώτος τύπος περιλαμβάνει ενδογενείς μικροοργανισμούς, δηλαδή αυτούς που βρίσκονται μέσα στο ανθρώπινο σώμα. Ο δεύτερος τύπος περιλαμβάνει εξωγενή παράσιτα που πρόθυμα «εγκαθίστανται» στο δέρμα και προκαλούν διάφορες δερματικές παθήσεις.
Τύποι πρωτόζωων παρασίτων
Βασικά, υπάρχουν 4 τύποι παρασίτων που «ζουν καλά» στο ανθρώπινο σώμα.
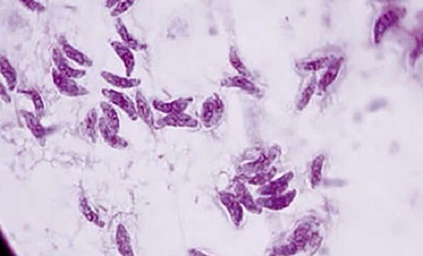
Μαστιγωτές
Αυτά περιλαμβάνουν Giardia και Trypanosomes. Αυτή η κατηγορία είναι αντιπροσωπευτική των αρχαιότερων εκπροσώπων των παρασίτων. Έλαβαν αυτό το όνομα λόγω του οργάνου του κινήματός τους: μαστίγια. Το μέγεθος των ίδιων των παρασίτων είναι απλώς μικροσκοπικό, έχουν σταθερό σχήμα και αναπαράγονται, κατά κανόνα, χωρίζοντας σε δύο μέρη.

Είναι πολύ επικίνδυνα για τους ανθρώπους και τα ζώα. αν μπουν στο σώμα τους, προκαλούν μεγάλη ζημιά. Προκαλούν επίσης διάφορες ασθένειες. Όπως ο αμερικανικός πυρετός ύπνου, η δερματική λεϊσμανίαση και πολλά άλλα. Μπορούν να παρασιτούν στα έντερα, στο αίμα και στο δέρμα. Έτσι, επηρεάζει αρνητικά την ανθρώπινη υγεία.
Σπορόζωοι
Αυτός ο τύπος πρωτόζωων παρασίτων έχει μια πολύ περίπλοκη πορεία ανάπτυξης. Αυτή τη στιγμή είναι γνωστό ότι η κατηγορία περιέχει περίπου 1400 είδη. Όλοι οι εκπρόσωποι «επιλέγουν» έναν παρασιτικό τρόπο ζωής και είναι εξαιρετικά επικίνδυνοι για ανθρώπους και ζώα. Η αναπαραγωγή γίνεται με κυτταρική διαίρεση.

Τις περισσότερες φορές, ως «τόπος διαμονής» επιλέγονται ανθρώπινοι ή ζωικοί ιστοί και όργανα. Αυτό το είδος προκαλεί πολλές ασθένειες. Για παράδειγμα, όπως η ελονοσία, η τοξοπλάσμωση.
Κιλιάτες
Αυτά περιλαμβάνουν balantidia. Υπάρχουν περίπου 7.000 διαφορετικά είδη. Τα όργανα κίνησης αυτών των παρασίτων είναι οι βλεφαρίδες, από τις οποίες υπάρχουν πολλά.

Ένα ιδιαίτερο χαρακτηριστικό αυτού του τύπου είναι η παρουσία δύο πυρήνων. Έχουν σταθερό σχήμα σώματος και κέλυφος. Η αναπαραγωγή συνήθως συμβαίνει ως αποτέλεσμα της διαίρεσης. Αυτό το είδος δεν είναι λιγότερο επικίνδυνο για τους ανθρώπους και τα ζώα από τα δύο προηγούμενα.
Sarcodaceae
Αυτές περιλαμβάνουν τη δυσεντερία αμοιβάδας. Είναι τα πιο πρωτόγονα από όλα τα είδη και τις κατηγορίες. Υπάρχουν περίπου 10.000 διαφορετικά είδη! Δεν έχουν σταθερό σχήμα σώματος. Είναι παρασιτικά σε ανθρώπους και ζώα.

Τις περισσότερες φορές επιλέγουν το πεπτικό σύστημα για τις δραστηριότητές τους. Εξαιτίας αυτών, μπορεί να συμβεί πολύ σοβαρή δηλητηρίαση στον άνθρωπο. Σε ορισμένες περιπτώσεις, οι θάνατοι είναι συχνοί.
Αυτοί οι τύποι ενώνονται με υψηλή αντοχή σε διάφορες "δοκιμές". Εξάλλου, ένα μολυσμένο άτομο προσπαθεί συνεχώς να καταπολεμήσει τα παράσιτα, αλλά δεν τα καταφέρνει πάντα λόγω του πώς μπορεί να αντισταθεί σε όλα τα μέτρα.
Γιατί είναι επικίνδυνα, τι ασθένειες προκαλούν;
Τα πρωτόζωα παράσιτα είναι πράγματι πολύ επικίνδυνα για την ανθρώπινη υγεία. Μπορούν να προκαλέσουν διάφορες ασθένειες που συνεπάγονται ορισμένες συνέπειες. Σε καμία περίπτωση δεν πρέπει να υποτιμά κανείς τα πρωτόζωα παράσιτα, γιατί μπορούν να βλάψουν σημαντικά έναν άνθρωπο.
Ασθένειες που προκαλούνται από πρωτόζωα παράσιτα:
Ελονοσία
Αυτή η ασθένεια χαρακτηρίζεται από ορισμένες αλλαγές. Μερικές φορές υπάρχει ανακούφιση, τότε η ανακούφιση αντικαθίσταται από έξαρση των συμπτωμάτων. Τα κύρια συμπτώματα είναι πονοκέφαλος, πυρετός, ναυτία, έμετος και σπασμοί.

Για πολλά χρόνια, η χιτίνη θεωρείται η καλύτερη θεραπεία. Ωστόσο, οι θάνατοι από αυτή την ασθένεια συμβαίνουν επίσης συχνότερα σε μέρη όπου η ιατρική αναπτύσσεται σε χαμηλό επίπεδο.
Αμοιβίαση
Μια άλλη όχι λιγότερο επικίνδυνη ασθένεια, οι συνέπειες της οποίας μπορεί επίσης να είναι θλιβερές. Ο αιτιολογικός παράγοντας είναι η αμοιβάδα δυσεντερία.
Τα συμπτώματα αρχίζουν να εμφανίζονται 7-10 ημέρες μετά τη μόλυνση. Αυτά περιλαμβάνουν πονοκέφαλο, γενική κακουχία, πυρετό και μερικοί άνθρωποι μπορεί να έχουν στομαχικές διαταραχές. Ακολουθούν επιπλοκές που εκφράζονται σε ηπατικά προβλήματα. Εάν ο ασθενής δεν ξεκινήσει έγκαιρα τη θεραπεία και δεν συμβουλευτεί έναν ειδικό, οι συνέπειες θα είναι μη αναστρέψιμες.
Τοξοπλάσμωση
Ο αιτιολογικός παράγοντας της νόσου είναι το Toxoplasma gondii. Τα συμπτώματα αυτής της ασθένειας περιλαμβάνουν βλάβη στα μάτια, πάσχει το νευρικό σύστημα, καθώς και το καρδιαγγειακό σύστημα. Πολύ συχνά, στην αρχή η μόλυνση δεν είναι αξιοσημείωτη και φεύγει σαν να ήταν κοινό κρυολόγημα.

Η μόλυνση κατά τη διάρκεια της εγκυμοσύνης είναι πολύ επικίνδυνη. Ακόμα κι αν το παιδί επιζήσει, πιθανότατα θα είναι με επιπλοκές και βλάβες στα μάτια ή στο νευρικό σύστημα. Έτσι, ακόμη και με τα πρώτα συμπτώματα, είναι επιτακτική ανάγκη να συμβουλευτείτε έναν γιατρό.
Βαλαντιδίαση
Προκαλείται από έναν μικροοργανισμό όπως τα balantidia. Τα συμπτώματα αυτής της ασθένειας περιλαμβάνουν κοιλιακό άλγος και δυσπεψία. Σε ορισμένες περιπτώσεις, είναι επίσης δυνατός υψηλός πυρετός και μέθη του σώματος.
Λεϊσμανίαση
Ο αιτιολογικός παράγοντας αυτής της ασθένειας θεωρείται η λεϊσμανία. Με δερματικές και βλεννογονοδερματικές εκδηλώσεις, εμφανίζονται έλκη. Με βλεννογονοδερματικές εκδηλώσεις, συχνά μπορεί να εμφανιστεί οίδημα. Δεδομένου ότι αυτές οι ασθένειες σχετίζονται με την αναπνευστική οδό, μπορεί να υπάρξουν θάνατοι.
Η λεϊσμανίαση εντοπίζεται κυρίως σε θερμές χώρες. Αυτή η ασθένεια είναι αρκετά συχνή και εμφανίζεται σε 87 χώρες.
Όπως μπορείτε να δείτε, τα πρωτόζωα παράσιτα είναι απίστευτα επικίνδυνα για την ανθρώπινη υγεία, παρά την απλή δομή των μικροοργανισμών. Μπορούν να προκαλέσουν ανεπανόρθωτη βλάβη στο ανθρώπινο σώμα, καθώς και να οδηγήσουν σε ορισμένες συνέπειες και επιπλοκές.
Πώς μεταδίδονται;
Υπάρχουν 4 πιο κοινές μέθοδοι μόλυνσης:
- Επικοινωνία - νοικοκυριό. Αυτός ο τύπος εμφανίζεται λόγω παραβίασης υγειονομικών μέτρων ή κανόνων υγιεινής. Η μόλυνση μπορεί να προκληθεί από διάφορες ενέργειες: χρήση αντικειμένων άλλων ανθρώπων, ιδιαίτερα προϊόντων προσωπικής υγιεινής, πιάτων και παρόμοια. Ως εκ τούτου, είναι πολύ σημαντικό να τηρείτε τους κανόνες προσωπικής υγιεινής, να έχετε τα δικά σας προϊόντα προσωπικής περιποίησης και σε καμία περίπτωση να μην χρησιμοποιείτε κάποιου άλλου.
- Περιττώματα – στοματικά. Αυτός ο τύπος εμφανίζεται ως αποτέλεσμα της επαφής με κόπρανα ή εμετού. Το πρωτόζωο παράσιτο μπαίνει πρώτα στα χέρια ή στην τροφή του «νέου ξενιστή» και μετά στο σώμα του.
- Από φαγητό. Αυτός ο τύπος εμφανίζεται ως αποτέλεσμα της κατανάλωσης μολυσμένων τροφίμων. Αυτό μπορεί να είναι κακοψημένο ψάρι ή κρέας, άπλυτα λαχανικά και φρούτα και γαλακτοκομικά προϊόντα.
- Μεταδοτικό. Αυτός ο τύπος εμφανίζεται ως αποτέλεσμα της μετάδοσης από ένα μολυσμένο αντικείμενο κατά τη διάρκεια ενός δαγκώματος, δηλαδή μέσω του σάλιου.
Πώς να απαλλαγείτε από αυτά
Μετά την ανάγνωση του άρθρου, σίγουρα προκύπτει αυτό το ερώτημα. Οι λοιμώξεις από πρωτόζωα παράσιτα είναι πολύ συχνές, επομένως το θέμα της απαλλαγής από αυτά είναι απίστευτα σημαντικό.
Όπως αναφέρθηκε προηγουμένως, όταν εμφανιστούν τα πρώτα συμπτώματα μόλυνσης, θα πρέπει να συμβουλευτείτε έναν γιατρό. Ο ειδικός μπορεί να συνταγογραφήσει ορισμένες εξετάσεις και εξετάσεις. Αφού τα περάσει, ο γιατρός θα κάνει ακριβή διάγνωση. Μετά από αυτό, πρέπει να ξεκινήσετε επειγόντως τη θεραπεία. Επίσης, δεν συνιστάται η αυτοθεραπεία, γιατί είναι ένας επαγγελματίας που μπορεί να βοηθήσει στη σωστή διάγνωση και να συνταγογραφήσει την κατάλληλη θεραπεία. Στις περισσότερες περιπτώσεις, οι γιατροί καταφεύγουν σε θεραπεία με διάφορα φάρμακα που βοηθούν στην εξάλειψη των παρασίτων και επιταχύνουν την ανάρρωση ενός ατόμου.
Στη σύγχρονη εποχή, υπάρχουν πολλά διαφορετικά καλά φάρμακα που βοηθούν στις λοιμώξεις από πρωτόζωα παράσιτα. Υπάρχει μια τεράστια ποικιλία φαρμάκων στην αγορά, η οποία καθιστά δυνατή την εύρεση του κατάλληλου για έναν συγκεκριμένο ασθενή.
Προληπτικά μέτρα
Για να μην αντιμετωπίσετε τα παραπάνω προβλήματα, είναι απαραίτητο να τηρείτε ορισμένους κανόνες, καθώς και να λαμβάνετε προληπτικά μέτρα.
Οι πιο αποτελεσματικοί κανόνες είναι αυτοί που μαθαίνουν τα παιδιά στο σχολείο. Πρώτα απ 'όλα, δεν πρέπει να ξεχνάμε το σχολαστικό πλύσιμο των φρούτων και των λαχανικών. Μπορείτε επίσης να το μαγειρέψετε ή να κόψετε τη φλούδα.
Στη συνέχεια, δεν μπορείτε να φάτε ωμό ψάρι ή κρέας που δεν έχει ψηθεί καλά. Είναι απαραίτητο να προετοιμάσετε πλήρως το πιάτο, να τηρήσετε τις συνθήκες θερμοκρασίας και χρόνου για να μαγειρέψετε πλήρως το προϊόν. Η περιστασιακή σεξουαλική επαφή πρέπει να αποφεύγεται. Είναι επίσης απαραίτητο να υποβάλλονται σε τακτικές ιατρικές εξετάσεις.













